世上有一種罕見病,得上這種病,患者身體會控制不住地“跳舞”,臉部、手臂、軀體不自覺任意地扭動,伴隨步態不穩、言語和吞咽障礙。更可怕的是,該病無法治愈,被認為是世界上最悲傷的“舞蹈”。這種病有一個好聽的名字,叫做“亨廷頓舞蹈病”(Huntington’s disease,HD),又稱亨廷頓病 。
近日,長三角綠色制藥協同創新中心溶酶體新藥研發團隊楊俊晟博士作為第一作者和唯一通訊作者,在國際知名期刊Autophagy上發表了題為“A prion-like domain of TFEB mediates the co-aggregation of TFEB and mHTT”的學術論文,報道了亨廷頓病(HD)致病蛋白mHTT與溶酶體生物生成和自噬的主要調節因子TFEB(轉錄因子 EB)形成共聚集體并可能干擾其功能,并揭示這一現象是由TFEB上的一段朊病毒樣結構域(PrLD)介導的。
HD是目前已知病因最為明確的神經退行性疾病之一,由Huntingtin基因(編碼HTT蛋白)的突變導致。相較于正常HTT,突變的HTT蛋白(mHTT)容易形成聚集體,并容易將細胞中其他蛋白也引入其中,從而影響細胞的正常功能。因此HD研究的一個主要方向是設法降低mHTT水平。
轉錄因子EB(TFEB)作為溶酶體生物生成和自噬的主要調節因子,可以調控溶酶體與自噬功能,幫助細胞降解蛋白聚集體等“垃圾”,因此被認為是治療包括HD在內的神經退行性疾病的潛在靶點。此前陸續有研究報道TFEB的過量表達有助于HD模型細胞減少mHTT,但在HD小鼠模型中,有研究發現TFEB的過量表達并未起到預想的降低mHTT以緩解HD癥狀的效果。這一現象頗令人費解。
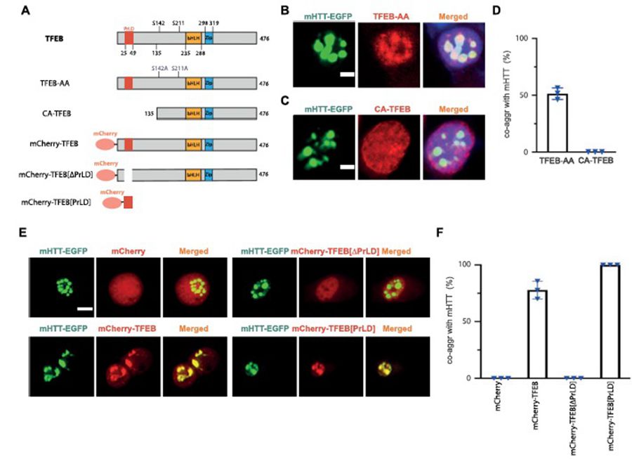
作者發現,mHTT形成的聚集體,可通過TFEB上的一段特異氨基酸序列——朊病毒樣結構域(PrLD)——將TFEB也囊括進聚集體中,并影響其功能(圖1)。這一現象在HD小鼠的模型中也得到了驗證。這很可能就是為什么TFEB的過表達在小鼠中未取得預期效果的原因。
“神經退行性疾病治療的一個難點是,如mHTT這樣的致病蛋白可能會直接損害細胞用來對抗它們的機制,降低細胞應對它們的能力,從而使致病蛋白進一步積累,令細胞進入一種惡性循環,導致疾病的加速進展。”楊俊晟介紹說。
“但我們也不必因此太沮喪,” 楊俊晟進一步解釋道,“結合此前報道的TFEB對降低可溶性mHTT的作用,TFEB 激活可能對治療早期HD患者更有價值,而對晚期患者的嚴重mHTT聚集,則可能很難起到預期的作用。另一方面,與TFEB同一家族的轉錄因子TFE3在功能上跟TFEB有一定的重疊性,但TFE3并不包含PrLD也不會與mHTT共聚集,因此TFE3可能可以作為治療HD的替代靶點。”
本文通訊作者楊俊晟研究HD已有近十年的時間。此前他在酵母模型中發現了mHTT不同構象對細胞骨架可能存在的破壞作用以及細胞內相應的調控機制。2021年,他已在Autophagy發表觀點性文章,提出了HD中自噬功能缺陷的一種新的模型(圖2)。
該工作獲得了國家自然科學基金面上項目(82071432),浙江省自然科學基金探索項目(LY20H090019)以及綠色制藥協同創新中心青年英才重點項目的支持,由楊俊晟博士帶領中心碩士研究生徐慧琳、張超越等共同完成。
《Autophagy(自噬)》是自噬領域的權威期刊,由美國科學家Daniel Klionsky教授于2005年創辦,主要關注發表自噬的機制及其與人類健康和疾病的聯系。最新影響因子為16.016。
楊俊晟,長三角綠色制藥協同創新中心助理研究員、碩士研究生導師。本科畢業于北京大學生物化學及分子生物學系,2001年畢業后赴美國留學,2008年于南加州大學獲得分子生物學博士學位。后赴瑞典哥德堡大學從事博士后研究,于2018年底入職長三角綠色制藥協同創新中心。長期從事衰老的細胞分子生物學以及相關疾病de研究,包括HD的潛在治療靶點、溶酶體離子通道的小分子激動劑/抑制劑對衰老和疾病的緩解作用等。在Cell及子刊,Nature Cell Biology, eLife, PNAS, Autophagy等國際頂級雜志先后參與發表SCI收錄學術論文24篇,其中以第一或通訊作者發表論文共9篇。

TFEB的PrLD介導了mHTT與TFEB的共聚集

HD中自噬缺陷的兩種模型
論文鏈接:https://doi.org/10.1080/15548627.2022.2083857
校歷
郵箱
EN

浙公網安備 33010302002621號